Case Report - International Journal of Medical Research & Health Sciences ( 2022) Volume 11, Issue 8
Compromised Facial Appearance âA Delimaâ Rehabilitated with the Metal Alloys and Porcelain: A Case Report.
Ganaraj Shetty1 and Natasha Shetty2*2Department of Conservative and Endodontics, Yenepoya Dental College, Mangalore, India
Natasha Shetty, Department of Conservative and Endodontics, Yenepoya Dental College, Mangalore, India, Email: drnatashashetty@gmail.com
Received: 22-Jul-2022, Manuscript No. ijmrhs-22-69912; Accepted Date: Aug 28, 2022 ; Editor assigned: 25-Jul-2022, Pre QC No. ijmrhs-22-69912 (PQ); Reviewed: 26-Jul-2022, QC No. ijmrhs-22-69912 (Q); Revised: 27-Aug-2022, Manuscript No. ijmrhs-22-69912 (R); Published: 30-Aug-2022
Abstract
Background: The occlusal wear of all the natural teeth is a continuous process happening throughout the lifetime. As in today’s world of dentistry, it’s a common task to replace and/or rehabilitate the entire maxillary and mandibular dentition. Though the treatment of generalized attrition can be a more complicated/complex procedure, Hobo’s and Takayama’s twin stage technique is the most commonly used technique to rehabilitate generalized attrition. Discussion: The principal objective behind the rehabilitation of the entire dentition is to preserve the health of the Stomatognathic system, with the restoration of optimum functional balance and aesthetics with the least invasive procedures. This case report demonstrates a full mouth rehabilitation of generalized attrition using Hobo and Takayama’s twinstage procedure for a patient with aesthetically and functionally compromised dentition. Conclusions: Full-mouth rehabilitation is the treatment of choice in the management of generalized attrition. A multidisciplinary approach and proper treatment planning with adequate manual dexterity are required for creating an improved aesthetic appearance and functional balance to maintain the health of the Stomatognathic System.
Keywords
Occlusal wear, Natural teeth
Introduction
The wear and tear of the occlusal surfaces of maxillary ad mandibular teeth are a continuous process happening throughout life. The pre-eminent anxiety involved in rehabilitating the enfeebling dentitional status of the patient due to differing views regarding the choice of a suitable occlusal scheme for successful rehabilitation of maxillary and mandibular teeth. However excessive occlusal wear may lead to occlusal disharmony, esthetic disfigurement, and impaired speech and function. Tooth wear can be classified as attrition, abfraction, abrasion, and erosion depending on the aetiology it is consequently a very crucial step to determine the strands contributing to the occlusal wear of the teeth followed by the decreased vertical dimension of occlusion. The two important principles have to be pursued while planning to raise the occlusal dimension vertically: 1. Increase in the occlusal vertical direction must be within a centric relation position. 2. Rehabilitation should be done within the range of envelope of motion of mandibular movement and neuromuscular coordination. Based on the principle of restoring the vertical dimension, the centric relation is precisely recorded, following which the record is transferred to a mechanical device to reproduce/ recapitulate the patient’s functional jaw movements. Modification in any form to raise the vertical dimension must be initiated from the centric relation position. Interceding the treatment modalities such as occlusal splints therapy, removable partial denture/complete dentures prosthesis with raised vertical dimension, should be prescribed before planning the definitive treatment so that neuro-muscular adaptive capacity/possible muscle engram is not exceeded. The patients can be re-categorized based on interocclusal space availability in worn-out dentition and treatment planning options. Worn-out dentitions where an adequate amount of space is available for rehabilitation are grouped as Type 1, here the conventional occlusal rehabilitation procedure can be carried out without altering the vertical dimension. If crown lengthening has to be carried out for aesthetic reasons, the patient can be grouped as Type II, only the occlusal vertical dimension should be altered without changing the vertical dimension at rest. Patients with abnormal loss of vertical dimension like cases of amelogenesis imperfecta may be grouped as Type III, the vertical dimension should be determined with utmost care for complete rehabilitation. The four basic modalities of bite raising are Temporary dentures, Dahl’s treatment modality, occlusal splints, and orthodontic bite raising devices. Occlusal splints can be used for a trial period ranging from 3 months to 6 months to test the patient’s response to a newly introduced vertical dimension. These splints are fabricated with canine-protected occlusion in lateral movements and mutually protected occlusion anteroposteriorly. The removable dentures can be used for 6 weeks to 7 weeks as a trial for testing the patient’s reaction/acceptance of the increased vertical dimension at occlusion. The original Dahl’s appliance is advantageous while planning the treatment for patients with severe overbite by raising the posterior occlusal anatomy with anterior teeth in contact. Different types of fixed/removable orthodontic appliances can be are used commonly for the correction of deep overbite situations, intrusion, and extrusion of teeth. Appliances causing extrusion of posterior teeth are useful in the increasing vertical dimension at occlusion in situations with a lack of space for restorations. Appliances causing intrusion of the anterior teeth are useful in maintaining vertical dimension at occlusion and correcting the deep bites cases [1]. The rehabilitation of the completely worn-out dentition is a significantly important clinically challenging step, the scenario of rehabilitation of the severely damaged and worn-out maxillary and mandibular dentition becomes more clinically challenging when it is followed with decreased vertical dimension at occlusion and rest position, due to lack of interocclusal space, it’s a challenging task to restore the teeth by maintaining the harmony of the temporomandibular joint and oral health. Proper diagnosis and comprehensive treatment planning are a must while planning for full mouth rehabilitation. Full-mouth rehabilitation enhances the patient’s selfâ??esteem, confidence, and quality of life. The case report discussed in the article presents the full mouth rehabilitation of generalized attrition of maxillary and mandibular teeth of a male patient aged 48 years with porcelainfused-to-metal alloys using Hobo and Takayama Twin-Stage philosophy.
Case Report
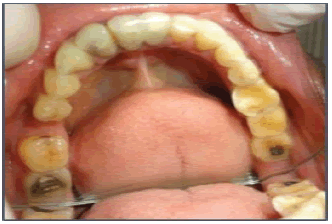
A Male patient aged 48 years old reported to the department of prosthodontics and Crown and Bridge. AB Shetty memorial institute of dental sciences, NITTE (Deemed to be University) Deralakatte, Mangalore. 575018 with the chief complaints of overall sensitivity of upper and lower teeth due to which he was unable to eat or drink cold and hot food. The patient also complained of compromised facial appearance due to the shortening of upper and lower teeth. A detailed case history was obtained which revealed that the patient had a habit of clenching and tooth grinding habit. Figure 1 illustrates the lost vertical dimension. Figure 2 illustrates the generalized attrition of the mandibular teeth. Figure 3 illustrates the generalized attrition of the maxillary arch. The Intraoral examination revealed a generalized loss of enamel and dentinal structure with a loss of 3 mm-4 mm of vertical dimension which was evident without any history of temporomandibular joint disorder. The treatment planning was formulated involving oral prophylaxis, followed by restoration of carious teeth, following which full-mouth rehabilitation was carried out by restoring the whole of maxillary and mandibular dentition with porcelain-fused-to-metal crowns at an increased vertical dimension of occlusion with 4 mm raised occlusal scheme with canine-guided occlusion to improve the aesthetic and functional value of the patient. The objectives of treatment planning were to attain functional harmony, re-establish aesthetics, and function, incorporate a canine-guided occlusal scheme, and enhance the health of the stomatognathic system. A heat cure acrylic splint was fabricated and was given to the patient to wear for 6 weeks. The adaptation of the patient to the increased vertical dimension at occlusion was evaluated at the interval of every 2 months. The patient gave no history of temporomandibular discomfort and Muscle tenderness. Occlusal interferences were corrected intraorally until the centric relation was harmonized with the centric occlusion. A Lucia jig was made with an established vertical dimension of occlusion at 4 mm Figure 4. The interocclusal bite record and protrusive bite record were made with bite registration wax (ALUWAX) Figure 5. The diagnostic impressions of maxillary and mandibular arches were made with a hydrocolloid impression material. The casts retrieved from the impressions were checked for finer details of teeth following which the cast was mounted on a semi-adjustable (Artex) articulator with a record of facebow transfer at an established vertical dimension of occlusion Figure 6. The mandibular occlusal plane was analyzed using Broadrick’s occlusal plane analyzer Figure 7. The marking on the Broadrick occlusal plane analyzer was opened at 4 inches, a mark was obtained on the flag with two points, one point at the distal slope of the canine and the other point at the distobuccal cusp of the second molar crossing the first point. Following which, another end of the divider was kept on this intersection of the marks, and the occlusal plane was marked mandibular case. on a semi-adjustable articulator (Artex) was programmed to Condition 1 of Hobo’s twin-stage procedure, wherein after removal of the maxillary anterior segment, posterior segment diagnostic wax-up was done in bilaterally balanced occlusion. The settings in condition 2 were changed by replacing the maxillary anterior segment with the wax-up for proper anterior guidance following which the disocclusion was achieved in eccentric movements in canine-guided occlusion. Table 1 showed the values of the hobo twin stage technique. Provisional crowns were fabricated with auto polymerizing resin using a vacuum-formed matrix produced from the diagnostic wax-up. The corrected occlusion was transferred to a customtailored anterior guide table fabricated with acrylic resin (Pattern Resin; GC Corp., Tokyo, Japan). Tooth preparation of all maxillary teeth was carried out in Figure 8, bite registration of prepared teeth was obtained in Figure 9, and Tooth preparation of all mandibular teeth was carried out in Figure 10. and the definitive twoâ??stage doubleâ??mix impression was made with polyvinyl siloxane elastomeric impression material (Aquasil and Dentsply) Figure11 and Figure 12. The interocclusal record was made with interocclusal recording material at an established vertical dimension, and Facebook was used for the recording of orientation jaw relation. Provisional restoration of the prepared tooth was done with temporary crowns (Protemp) that were cemented with soft zinc polycarboxylate temporary luting cement Figure 13 and Figure 14. After the cast was retrieved from the trays the die-cutting was made, and the casts were further mounted on an articulator (Hanau H2). The wax patterns were made with crown wax, the patterns were further invested, and the casting procedure was followed Figure 15. The try-in of metal copings was done in Figure 16. Following the ceramic build-up on all the metal copings the bisque try-in was done. The teeth were restored with The Porcelain-fused-to-metal restorations in Conditions 1 and 2 of Hobo’s technique. The canine-guided occlusion was checked in the mouth, and after verification, the crowns were cemented with temporary polycarboxylate cement. After the follow-up of 2 weeks, the patient’s response was recorded whether if comfortable with restored teeth. The crowns were cemented with resinâ??modified glass ionomer cement left side Figures 17 (FujiCEM; GC America, Alsip, USA) The crowns were cemented with resin-modified glass ionomer cement right side Figures 18, The frontal view of cemented crown Figures 19. Oral hygiene instructions were given and patients were advised to visit the department for regular follow-ups and check-ups.
| Condition | Condylar Guidance | Anterior Guidance | ||
|---|---|---|---|---|
| Sagittal | Lateral | Sagittal | Lateral | |
| 1 | 250 | 150 | 200 | 100 |
| 2 | 400 | 150 | 450 | 200 |
Discussion
The vertical dimension of occlusion is maintained even after the rapid wearing of the occlusal surface because of compensatory remodelling of the alveolar bone process. However, the occlusal surface may attribute to generalized attrition by the physiologic process of continuous eruption of the tooth depending on the etiological factors of the wearing off the teeth [2,3]. Excessive wear of occlusal surface may cause loss of Vertical dimension that leads to decreased facial height, abnormal chewing pattern, and loss of healthy facial appearance. The treatment focuses mainly on regaining the lost vertical dimension of occlusion and correcting or designing to increase the reduced facial height. and also fulfil the aesthetic appearance and, functional balance [4,5]. All the efforts to rehabilitate fullâ??mouth are directed toward re-establishing a state of functional efficiency, and aesthetic considerations in which the hard and soft tissues of the stomatognathic system function in synchronous harmony. Dawson stated that the interocclusal freeway space between the arches was maintained throughout the process of continuous tooth eruption and modification in the alveolar bone. Success in maintaining the generalized attrition of maxillary and mandibular teeth depends on the development of proper condylar guidance and incisal guidance to permit the dis-occlusion of all the posterior and anterior teeth within patients’ envelope of motion [6].
The aetiology of tooth wear is multifactorial. The vertical dimensions should be raised with fabrication and fit-in of occlusal splints before starting the treatment, and the overlay prostheses should be tried between 3 weeks to 6 months for deprogramming of muscles of mastication and temporomandibular joint. In the present case, 4 mm of vertical dimension was raised as a moderate amount of increase in vertical dimension is not harmful to muscles and the temporomandibular joint apparatus [7]. The patient was carefully monitored at the interval every 3 weeks to determine if there is any discomfort caused by wearing the occlusal splint. No discomfort, muscle fatigue, or any of the disorders were observed. The raised vertical dimension of the occlusion was determined by the freeway space and by the patient’s physiologic factors such as vertical dimension at rest and occlusion. Interocclusal space and speech were monitored as a raised vertical dimension at occlusion would lead to multiple complications of the temporomandibular joint and muscle mastication. In 1957 Stuart and Stallard stated the cuspid-protected occlusion concept had many benefits over the group function concept. Hobo and Takayama said that amount of dis-occlusion depends on the path of condylar movement, incisal guidance, and cuspal angulation [8,9]. The harmful lateral forces and movements are controlled by the posterior dis-occlusion posterior dis-occlusion. The case report exemplified that if the full mouth rehabilitation is carried out with the condylar head well seated in the centric relation position maintaining the proper anterior guidance and condylar guidance harmonious with centric occlusion position in the envelope of mandibular movements may also prevent excessive wear of the teeth that will also compensate for all the deleterious effects caused due to generalized attrition of maxillary and mandibular dentition, that may be beneficial in maintaining the function and health of Stomatognathic system [10,11].
Conclusion
Full-mouth rehabilitation is the treatment of choice in the management of generalized attrition. A multidisciplinary approach and proper treatment planning with adequate manual dexterity are required for creating an improved aesthetically pleasing appearance and functional balance that may play a major role in maintaining the overall health and growth of the stomatognathic system.
Declarations
Conflict of Interest
The author(s) declared no potential conflicts of interest with respect to the research, authorship, and/or publication of this article.
References
- Gopi Chander, N., and R. Venkat. "An appraisal on increasing the occlusal vertical dimension in full occlusal rehabilitation and its outcome." The Journal of Indian Prosthodontic Society, Vol. 11, No. 2, 2011, pp. 77-81.
Google Scholar Crossref - Kalra, Ashish, et al. "Full-mouth rehabilitation using twin-stage technique." International Journal of Oral Health Sciences, Vol. 9, No. 1, 2019, p. 40.
Google Scholar - Maharjan, Anjana, et al. "Rehabilitation of Severely Attrited Teeth with Hobo Twin Stage Technique: A Case Report." JNMA: Journal of the Nepal Medical Association, Vol. 57, No. 220, 2019, p. 453.
Google Scholar Crossref - Ck, Anulekha A., et al. "Restoring the lost functional harmony in a mutilated dentition using Hoboâ??s twin stage concept of full mouth rehabilitation." Journal of clinical and diagnostic research, Vol. 8, No. 9, 2014, p. 21.
Google Scholar Crossref - Ezzy, Huzaifa, et al. "Full-mouth Rehabilitation of Worn Dentition by Hobo Twin-stage Philosophy: A Case Series." Journal of Contemporary Dentistry, Vol. 9, No. 1, 2019, p. 18.
Google Scholar Crossref - Shetty, Bharat R., et al. "Philosophies In Full Mouth Rehabilitationâ??A Systematic Review." International Journal of Dental Case Reports, Vol. 3, 2013, pp. 30-9.
Google Scholar Crossref - Kumar, S. Anil, et al. "Full mouth rehabilitation of a case of rampant caries using a twin-stage procedure." Medical Journal, Armed Forces India, Vol. 71, No. 2, 2015, p. 429.
Google Scholar Crossref - Viswambaran, M., and Tarun Dabra. "Comprehensive rehabilitation of a worn out dentition with complete coverage ceramic restorations." Medical Journal, Armed Forces India, Vol. 71, No. 2, 2015, p. 486.
Google Scholar Crossref - Pal, Dipankar. "Philosophies of Occlusion in Full Mouth Rehabilitation: A Review." Journal of Prosthodontics Dentistry, Vol. 15, No. 1, 2020, pp. 43-52.
Google Scholar - Tiwari, Bhawana, et al. "Occlusal concepts in full mouth rehabilitation: an overview." The Journal of Indian Prosthodontic Society, Vol. 14, No. 4, 2014, pp. 344-51.
Google Scholar Crossref - Barman, Jogeswar. "Occlusal Considerations, Concepts and Treatment Planning for Full Mouth Rehabilitation of Mutilated Dentition." Indian Journal of Stomatology, Vol. 5, No. 3, 2014, pp. 344-51.
Google Scholar Crossref



















