Case Report - International Journal of Medical Research & Health Sciences ( 2025) Volume 14, Issue 5
Cupronickel 50p Coin down The Esophagus!
Dominic Pope1* and Victoria Dominique Pope22Department of Endoscopy, Kingston University London, UK
Dominic Pope, Department of Endoscopy, Canterbury College, Canterbury, UK, Email: dominicpope72@gmail.com
Received: 13-Aug-2024, Manuscript No. IJMRHS-24-146059; Editor assigned: 16-Aug-2024, Pre QC No. IJMRHS-24-146059 (PQ); Reviewed: 31-Aug-2024, QC No. IJMRHS-24-146059; Revised: 19-Oct-2025, Manuscript No. IJMRHS-24-146059 (R); Published: 26-Oct-2025
Abstract
We are told that these coins will pass or informed that they can be retained without any consequence. Both of these theses are mistaken. As we expose the case of a twenty four-year stomach retained 50p and the Pandora's box it will/has become. This became problematic because of the continued reassurance that these coins will pass. The retention and effects of gastric fluid on CuNi has been missed and the subsequent devastating effects of the released NiCl2.
Keywords
Stomach, Coins, Gastric fluid
Introduction
Dolorem ipsum
We are continually led to believe that these coins will pass and this is how our story begins: The case begins in 2000 and the subject’s wife collects 50p coins. The gentleman has just received a newly released one and has placed it in his shirt pocket, he then proceeds to pour a coffee from his vacuum flask in the trunk/boot of his vehicle and this unfortunately is the start of his woes as the coin falls in his cup. He mentions this to a colleague and attempts to drink it carefully, where the idiotic colleague he works with decides to whack him on the back forcefully causing the coin to enter his esophagus and so the journey begins [1].
The subject now choking manages to ingest the coin and goes home and references the internet, which tells us that the majority of these coins will pass, this will highlight later is not always the case. He suffers pain for a number of years and eventually goes to the doctors and discloses to the doctor the issue and he is sent for imaging. His imaging referrals were very poor and missed clinical details of importance such as the size of the coin and the period of ingestion which was approximately two years plus.
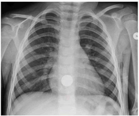
The subsequent imaging has been proven to be flawed with the publication of several papers which poorly covered the processes involved, due to rational thinking the first of these papers is unlikely to read in the UK and this is purely an utterly because it mentions the word euros and obviously we don't have Euros in the UK so it can't apply to us. I did manage to highlight this issue with my local radiology department in 2022 and one of them actually read the paper and I suspect due to the way imaging was produced after this in an attempt to correct these errors that only one person had read the paper as they followed blindly with the same procedures again, So what actually happens to CuNi coin down the esophagus. A case of a 50p coin swallowed in the summer of 2000 and its 24+ year retention (Figure 1).
Figure 1 The case of a twenty-four-year stomach retained 50p and the Pandora’s box
Case Presentation
2002 the first imaging
After two years of continuous pain in the stomach and no sign of the coin passing the gentleman approaches his GP and gets a referral for an X-ray. This is actually the start of the problems because the referral is of poor quality, his referrals often followed the theme of he reports along the format of “he thinks he swallowed a coin”, they are already installing the theme of doubt to their colleagues with the opening. They fail to mention the period of ingestion and the size of the coin. If you are not familiar with this coin it measures 27.3 mm in diameter and is 1.78 mm thick and it is composed of 75% copper and 25% nickel, it weighs 8 grams. The 2 grams of nickel will form approximately 4.4 grams Nickel chloride. The exposure to gastric fluid represented by the following chemical equation:
2HCl+CuNi=2H+CU+NICl2 (it is problematic for diagnostic imaging).
The gentleman was imaged at the local hospital and the procedures used were in breach of Royal College of Radiology guidelines, as only AP imaging was performed and no lateral imaging [2].
The problems that occurred during this first imaging:
• Referral missing important data and I'm guessing a hint of skepticism by the referring doctor due to the time delay. Which was caused by the patients reassurance by the internet that the coins would pass.
• It was not until 2004 that the following paper was published “Effects of gastric acid on euro coins: title “Chemical reaction and radiographic appearance after ingestion by infants and children” (Stefan Puig and Martina Scharitzer).
• And in Dec 2018 a further paper: “Case report buried coin in the gastric mucosa” Dominic ti Ming tan, Yih Chyn phan, edmund Leung. Highlights that 50p is too large to leave the stomach and its subsequent retention (Figure 2 and Table 1).
• Poor technique, which increased Compton scatter and collimation. Ref “Understanding and Confronting Our Mistakes: The Epidemiology of Error in Radiology and Strategies for Error Reduction” authors Michael A Bruno, Eric A Walker and Hani Abujudeh.
| Classification scheme for errors in diagnostic radiology | ||
| Cause of error | Explanation | Occurrence (%) |
| Complacency | A finding is appreciated but attributed to the wrong cause (false-positive finding) | 0.9 |
| Faulty reasoning | A finding is appreciated and interpreted as abnormal but is attributed to the wrong cause (true-positive finding misclassified) |
9 |
| Lack of knowledge | A finding is seen but is attributed to the wrong cause because of a lack of knowledge on the part of the interpreter |
3 |
| Underreading (missed finding) | A finding is present on the image but is missed | 42 |
| Technique | A finding is missed because of the limitations of the examination or technique |
2 |
| Price examination | A finding is missed because of failure to consult prior radiologic studies or reports |
5 |
| History | A finding is missed because of inaccurate or incomplete clinical history |
2 |
| Location | A finding in missed because of the location of a lesion outside the area of interest on an image |
7 |
| Satisfaction of search | A finding is mixed because of failure to continue to search for additional abnormalities after the first abnormality was found |
22 |
| Complication | A complication from a procedure | 0.5 |
| Satisfaction of report | A finding was missed because of overreliance on the radiology report from a previous examination |
6 |
Table 1 Classification scheme for errors in diagnostic radiology
Figure 2 Example of a perceptual error. Ante<oposterior ra diograph of the chest of a 4-year-old boy.The presence of a swallowed coin within the esophagus was missed twice by a skilled pediatric radiologist. The clinical hstory provided did not mention the possibility of a swallowed coin.
Unfortunately, the paper published in 2004 has a few oversights and important issues arose as a result. Whilst they analyzed the HCl to gather data on the erosion of the coins. They then throw this away, a serious oversight as the leached materials will form a contrast media. This is particularly problematic in the case of nickel, as the primary interaction of diagnostic imaging is a phenomenon called Compton scatter. Compton scatter is dependent on the components valence electron count, this is problematic in the case of CuNi coins as Cu has one valence electron and Ni ten. This basically means that released Ni in the form of NiCl2. Has a higher diffraction rate to diagnostic imaging and this is due to its higher valance electron count, which increases the occurrence of Compton scattering.
The following paper highlights the absorption of NiCl2 during fasting at 25-27%, which acts as a contrast media due to its absorption: Title “Update of the risk assessment of nickel in food and drinking water”
Authors (EFSA Panel on Contaminants in the Food Chain (CONTAM), corresponding author Dieter Schrenk, Margherita Bignami, Laurent Bodin, James Kevin Chipman, Jesús del Mazo, Bettina Grasl-Kraupp, Christer Hogstrand, Laurentius (Ron) Hoogenboom, Jean-Charles Leblanc, Carlo Stefano Nebbia, Evangelia Ntzani, Annette Petersen, Salomon Sand, Tanja Schwerdtle, Christiane Vleminckx, Heather Wallace, Thierry Guérin, Peter Massanyi, Henk Van Loveren, Katleen Baert, Petra Gergelova, and Elsa Nielsen. This was published in Nov 2020)
Compton scatter should be avoided, as it lowers image quality.
It is sadly common practice at this time to perform imaging over a large area, this is problematic for diagnostic imaging as it increases Compton scatter and lowers diagnostic imaging quality, this is covered in several sources via the internet, the city college of San Francisco college published a video a number of years ago “scatter radiation and factors that influence” and one from clover learning understanding Compton scatter-X-ray production and safety and if you care to have a read-up on the subject please see this Effect of changing X-ray tube voltage (kV). Published by upstate medical university, Syracuse, NY.
All of the above links should have reinforced that Compton scatter is not particularly desirable. And it is desirable to maintain the exposure data for all imaging so that one can adjust the parameters should the need arise, if the issues highlighted above occur, you will not know that the exposure settings have caused a problem. The belief that the shorter exposure exposes the patient to less iodizing radiation has been highlighted by the above to be questionable, as the increased power of the each photon could possibly cause more than one interaction. Called inverse Compton scattering, traditionally known as Compton up scattering, is a type of scattering where low-energy photons obtain energy from high-energy electrons. Although it may seem ideal to use a higher kVp and lower mAs. If you are imaging the patient multiple times because the image quality is poor, you have gained nothing, you are purely exposing the patient to more ionizing radiation in a point that's exercise that the imaging quality may get better if you do not change the settings. Hence the importance of recording this data during all imaging (Figure 3) [3].
Figure 3 Diagrammatic representation of inverse square law
Compton scatter is also predominant due to the fact of the common practice of the radiographers to image large areas, as more power is needed, this can be visualized with the inverse square law.
The coins release nickel chloride is absorbed during fasting at 25 to 27%. Where it taints the surrounding tissue, making a diagnostic imaging difficult due to the issues highlighted above. To avoid the above issues one would need to minimize kVp. And in all probability the best means of achieving a successful image in this scenario would be imaging focused only on the area of interest and quite possibly with a fluoroscope examination.
But the gifts that the nickel brings do not stop there for there is more in Pandora's box, the ingested nickel has been linked to sensitisation and in sensitized subjects, the ingested Nickel (Ni) may induce gastrointestinal symptoms like those encountered in IBS (nausea, pyrosis, meteorism, abdominal pain, diarrhea and constipation), in addition to typical systemic cutaneous lesions. This clinical picture is known as Systemic Nickel Allergy Syndrome (SNAS) see irritable bowel syndrome and nickel allergy: What is the role of the low nickel diet?
It will cause psoriasis and this can manifest itself as psoriasis on the subjects nails or dermis, the psoriasis is likely to have a bluish green material in it.
Which I suspect is nickel chloride hexahydrate and this was visible in the dermis psoriasis also (Figure 4) [4].
Figure 4 Nail psoriasis
Nail psoriasis (bluish green specs NiCl2 *6H2O). Dermol 500 was applied to skin psoriasis and then scrapped off 5 minutes later, the skin psoriasis had bluish green material visible using macro photography. Should be visible using a dermatoscope also [5].
The link to psoriasis was highlighted in Oct 2017 Psoriasis, Nickel and Metronidazole.
Results and Discussion
Psoriasis, nickel and metronidazole
Psoriasis is a chronic inflammatory skin disease mediated by the cells and molecules of both the innate and adaptive immune systems that involves red elevated patches and flaking silvery scales. Despite intensive research, psoriasis pathogenesis remains unknown. Our purpose was to study the role of nickel in psoriasis using microarray gene expression data. The unexpected outcome from this study was the role of metronidazole in the treatment of psoriasis.
Six psoriasis microarray assays were downloaded from the GEO database. Statistical tests have been done on both normalized and non-normalized data. We used KEGG, Reactome and BioSystems for Pathway analysis, and RGD for gene-chemicals interactions.
Nickel upregulates the top upregulated genes in psoriasis including AKR1B10, IL36G, SERPINB4, Kynu, SERPINB3, TCN1, DEFB4A, HSPB6, PI3, SPRR2G, SPRR2C, SPRR3, VNN3 and several S100 family members without downregulating any of those upregulated genes. Nickel also downregulates the top downregulated genes such as KRT77, HAD, BTC, COL27, CHP2, IL37 and ROR1 without upregulating any of those downregulated genes. The strongly upregulated pathways included immune response, defense response (e.g., amoebiasis), cell cycle and metabolic pathways, and the top downregulated pathways included inflammatory bowel disease, keratins, ErbB, Chemokine, Cytokine and TGF-beta pathways.
Based on the best of our knowledge, this is the first study that highlighted the role of nickel in psoriasis pathogenesis using microarray gene expression data. The significant and unique effect of nickel in upregulating the upregulated genes and downregulating the downregulated genes in psoriasis and a strong affinity between the imidazole ring were an indication of a possible dramatic effect of metronidazole on improving psoriasis skin inflammation in our limited case study. Using microarray data, we showed that recognition of the role of abnormal nickel concentration could point the way to greater understanding of psoriasis pathogenesis.
Psoriasis is a chronic inflammatory skin disease mediated by the cells and molecules of both the innate and adaptive immune systems that involves red elevated patches and flaking silvery scales. In normal healthy skin, the skin cells’ turnover cycle is typically 30 day whereas in psoriasis, skin cells shed every 3 to 4 days. Psoriasis pathogenesis remains unknown despite intensive research. It has been shown, however, that the condition may involve malfunctioning of the immune system and the consequent production of inflammation.
Nickel is a nonessential metal of great environmental concern because it is widely used in the production of coins, jewelry, stainless steel, batteries, medical devices, and carbon particles as well as in refinery, plating and welding. Allergies to nickel are the most frequent cause of contact hypersensitivity.
The retention of these coins and the material the NI compounds released into the body should be of major concern, further studies have shown these to be carcinogenic.
Ascorbate depletion: A critical step in nickel carcinogenesis? It is known that ascorbic acid vitamin C binds to Ni compounds and can limit their absorption. And correspondingly the binding of nickel to vitamin C. limits the amount of vitamin C the body will absorb leading to localised scurvy-like symptoms where the dermis takes a long time to heal or old wounds split open.
Sadly the belief that was published in the gastric mucosa paper where the coin would sit in the stomach infinitum and not cause problems is sadly not the case. The failure of the clinicians involved to understand the impact that hydrochloric acid would have on the nickel and it's devastating impacts this will have for the patient.
And again it is chemistry or a lack of knowledge of it that has led the clinician from the endoscopic procedure of the subject in 2022, to label the green mass in the stomach as a piece of food. If you examine the striations on it and factor in the endoscopic distortion this is clearly the 50 pence coin the patient reported swallowing in 2000, which has sat in the stomach for at that time 22 years and the exposed copper and has then transitioned from Cu to Cu+/CU+2. Causing it to develop a patina as often seen on statues, such as the statue of liberty or the Dome of st Paul's cathedral in London.
It is these continued errors by clinicians that end up getting patients labeled deluded (hypochondriacs). “It only takes three visits to the doctor to be so labeled”.
The mass of Ni is 58.6934 u and in grams per Ni equals 9.7462675133e-23 of a gram. This means the coins 2 g Ni content equals 2.052067623e022 atoms of Ni, each one has 10 valence electrons and this is why it is so problematic and promotes Compton scatter, once it forms water soluble NiCl2 and this is absorbed.
Particulate matter is problematic throughout the electromagnetic spectrum and causes interactions that are not seen in the solid version of these elements. As the particles have a random diffraction angles, the released material will increase the likelihood of a cascading effect and is likely cause inverse Compton scatter. As the released NiCl2 will behave like iodine sulfate contrast, but unlike iodine, it is mainly retained in the body and its removal would require chelating.
Large coins such as this are unlikely to pass through the pylorus, as the normal circumference of the pyloric sphincter varies between 5 to 15 millimeters, giving it a circumference of just over 47 millimeters. If you were to try and post the coin through the sphincter like a button through a buttonhole. The diameter and the thickness multiplied by 2=over 57 millimeters. Furthermore, the Pyloric canal which normally measures max 15 mm in length is not long enough to actually constrict on the coin, to force it through the pyloric sphincter, as not enough of the coin will not enter the canal for this to happen, unless the canal is enlarged (Figure 5) [6].
Figure 5 The coin the pyloric canal
The plastic gauge is formed from the standard measurements of the pylorus.
• Pic 1: The two holes which represent the pyloric sphincter are 5 and 15 mm in diameter. Note the 50p coin placed behind for reference.
• Pic 2: The canal is represented by the square and the referenced maximum normal diameter of 15 mm was used for depth and width, again note the coin is too large to enter. The width at the sphincter would obviously match the dimensions of the sphincter.
• Pic 3: Shows how much of the coin could actually fit in that 15 mm depth, if it could get through the opening in button orientation.
• Pic 4: The final image represents the larger 15 mm sphincter circumference distended, in an attempt to post the coin through it like a button. I think this demonstrates that it is highly improbable that the UK's 50p coin will ever leave the stomach and this was clearly inferred with the paper published in 2018 “coin migrated into gastric mucosa.
I cannot confer the importance of reading papers that seem irrelevant by to your country of origin, the original euro paper published in 2004 has barely been read in the UK at this time. Even though it was commonplace for our citizens to travel across Europe and therefore highly plausible that they could ingest a Euro and return to the UK for medical intervention.
The further issue with the ingestion of the nickel is that the NI content is reportedly to migrate to the lymphatic drainage system and causes responses there, the subject noted here has had lesions removed from his feet that have been connected to his lymphatic drainage system (Figure 6). Leading to painful swollen lymph nodes, Lymphadenopathy blisters etc. [7].
Figure 6 Medtronics pacemakers contain the metals
Quote from the abstract of the paper highlighting the issues caused to the LNs.
“Nickel (Ni) is the most frequent metal allergen and induces Th1-dependent type-IV allergies. In local skin, epidermal Langerhans cells (LCs) and/or dermal dendritic cells (DCs) uptake antigens and migrate to draining lymph nodes (LNs).”
Pub may 2020 “Migratory dendritic cells in skin-draining lymph nodes have nickel-binding capabilities”
Toshinobu Kuroishi, corresponding author Kanan Bando, Reiska Kumala Bakti, Gaku Ouchi, Yukinori Tanaka and Shunji Sugawars
Conclusion
In conclusion it is important to read papers however irrelevant they seem, it is important to keep an open mind and engage with the subject. The subject in this case has tried to highlight to his GP in a 15-minute consultation and the doctors failure to engage with them and examine the clinical research has led to being labeled delusional, note this Dr’s reaction is a parallel to the Semmelweis response. All due to ignoring the teachings of Hippocrates and I quote “Science is knowledge. Opinion is ignorance” And just like Ignaz they have been labeled, fortunately they have not been carted off to an institution. But they still await treatment! Because of the failure to apply basic chemistry and good imaging practices.
“Delay is the deadliest form of denial” (Quote: C. Northcote Parkinson)
Just some of the issues bluish green material is I suspect NiCl2 *6H2O (nickel chloride hexahydrate), in this form it is excreted via sweat via dermis and urine, causing severe irritation and nickel responses on the dermis. This has also included hard bluish green skin on the elbows, this possibly due to this being a high maintenance area of the body, and I'm sure the gentleman in Hereford will also have all of the wonderful symptoms and issues highlighted develop.
Nickel and its subsets are a group one carcinogen and the issues highlighted. Should reinforce the need to remove it or provide a form of chelation therapy. The issues of nickel should not be taken lightly and this was highlighted recently with the withdrawal of the Bayer's Essure device, as there is now mounting speculation in the States over the possible effects that this device has caused? Bayer says it will stop U.S. sales of birth control device Essure Bayer has since settled.
This device contains a tiny amount of nickel and yet his reportedly causing serious nickel allergy issues, do you not think two grams of nickel is of major clinical significance. Essure Birth Control Lawsuit and Recall 2024.
Even medtronics pacemakers contain the metals that are known to cause issues although it is rare and it is the rarity of the above situation which has meant that the case subject has been undiagnosed for the last 24 years.
References
- Shing-Yau Tam, et al. Scatter Radiation Distribution to Radiographers, Nearby Patients and Caretakers during Portable and Pediatric Radiography Examinations. Bioengineering (Basel) Vol. 10, No.7, 2023, pp.779.
[Crossref] [Google Scholar] [PubMed]
- Myles L Mowery and Vikramjeet Singh. X-ray Production Technical Evaluation. StatPearls 2024.
- Arlene Campos. Kilovoltage peak. 2024.
[Crossref]
- Angela Rizzi, Eleonora Nucera and Lucrezia Laterza et al. Irritable bowel syndrome and nickel allergy: What is the role of the low nickel diet?. Journal of Neurogastroenterology and Motility Vol.23, 2017, pp.101-108.
[Crossref] [Google Scholar] [PubMed]
- Saed Sayad, et al. Psoriasis, Nickel and Metronidazole. 2017
[Crossref]
- Konstantin Salnikow and Kazimierz S Kasprzak. Ascorbate depletion: a critical step in nickel carcinogenesis?. Environmental Health Perspectives Vo.113, No.5, 2005, pp.577-584.
- Toshinobu Kuroishi, et al. Migratory dendritic cells in skin-draining lymph nodes have nickel-binding capabilities. Scientific Reports 2020.
[Crossref]






